学校首页

动物科技学院王学理教授团队在国际Top期刊《LWT - Food Science and Technology》发表学术论文

近日,内蒙古民族大学动物科技学院王学理教授团队在农林科学一区Top 期刊LWT - Food Science and Technology》在线发表了题为《Isolation and identification of a pathogenic strain of Bacillus cereus from bovine and establishment of a rapid detection method for RPA-LF的研究论文。内蒙古民族大学动物科技学院21级兽医学硕士研究生孟庆磊为该论文的第一作者,王学理教授为该论文的通讯作者。该研究对一株致病性蜡样芽胞杆菌进行了分离鉴定,并开发了一种致病性蜡样芽胞杆菌的RPA-LF检测方法。RPA-LF检测法可以快速检测致病性蜡样芽胞杆菌,以降低该菌对人和动物健康的危害。


蜡样芽胞杆菌是一种常见的食源性条件致病菌,内蒙古东部地区已发现多起蜡样芽胞杆菌引发的牛猝死病例。该研究从一猝死牛脾脏内分离到一株细菌,经鉴定其为致病性蜡样芽胞杆菌。蜡样芽胞杆菌的传统检测方法耗时较长。为了满足快速准确的检测需求,该研究针对蜡样芽胞杆菌的nhe基因建立RPA-LF检测法(原理图见图1),以期减少蜡样芽胞杆菌的危害,同时也为其他病原菌的快速检测提供了一定的参考。

分离菌株为革兰氏阳性杆菌,菌落呈灰白色、且菌落有较强的黏性(菌落呈蜡滴状。镜检可见分离菌株大部分单个或链状排列(图216S rDNAPCR扩增结果可见一条大小约为1500 bp的条带(图3。将16S rDNA的测序结果与不同来源的菌株进行同源性分析和比较,基因系统发育进化树的结果显示分离菌(OP028902)与山西分离株KX905299亲源关系最近(图4)。小鼠注射菌液后全部死亡,生理盐水对照组小鼠无异常。动物致病性试验表明分离菌株具有较强的致病性。分离的蜡样芽胞杆菌中含有持家基因groEL,溶血性肠毒素毒力基因hblAhblChblD,非溶血性肠毒素毒力基因nheAnheBnheC以及肠毒素毒力基因entFM,不含有肠毒素毒力基因bceT、细胞毒素毒力基因cytK及呕吐毒素毒力基因ces(图5

为测试该研究中RPA-LF检测法的最适反应温度,将RPA反应产物添加至侧向横流试纸条2 min后,10 ℃15 ℃20 ℃25 ℃45 ℃组试纸条检测线无条带,30 ℃组检测线出现颜色较浅条带,35 ℃40 ℃组检测线明显(图65 min后可见10 ℃15 ℃组试纸条检测线无条带,20 ℃组与45 ℃组检测线出现颜色较浅条带,30 ℃35 ℃40 ℃组检测线明显。结果表明35-40 ℃为组内RPA最佳反应温度区间其中38 ℃组的效果最好,故将该研究的反应温度设定为38 ℃

为测试该研究中RPA-LF检测法的最佳反应时间,将各反应时长下的RPA反应产物添加至侧向横流试纸条,5 min反应组检测试纸条出现颜色较浅的检测带,其余各组检测线均十分明显。此结果表明,5-10 min的反应时间为该研究的最低有效检测区域(图7设置6试验以进一步确定最佳反应时间 (6试验组反应时间依次为5 min6 min7 min8 min9 min10 min)10 min组条带的清晰度明显高于其余试验组,因此10 min此检测方法的最佳反应时间。

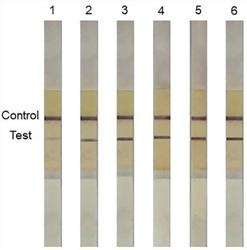
为测试该研究中RPA-LF检测法的特异性,选用了不同菌株和生理盐水进行对照。蜡样芽胞杆菌检测组试纸条上出现清晰的检测条带,其余各试验组均无检测条带出现(图8)。该检测方法具有较高的特异性。该研究中的RPA-LF检测法的灵敏性试验结果表明,该检测方法可对浓度达1.0×102 CFU/mL以上的蜡样芽胞杆菌进行检测(图9

综上可知,该研究对牛源蜡样芽胞杆菌(OP028902)进行分离鉴定(致病性蜡样芽胞杆菌导致了牛的猝死);该研究建立了蜡样芽胞杆菌非溶血性肠毒素的RPA-LF快速检测法RPA-LF检测方法只需15 min即可检测浓度高于1.0×102 CFU/mL的蜡样芽孢杆菌,此检测方法的特异性良好),这为致病性蜡样芽胞杆菌的快速检测提供了参考,也为其他病原菌的快速检测提供了一定的参考。

   该项目获得内蒙古自治区高等学校科学技术研究重点项目(NJZZ19147),内蒙古自然科学基金(2021LHMS03008),内蒙古直属高校基本科研业务费多学科交叉研究项目(GXKY22003)的共同资助。

图1. RPA-LF示意图



2. 细菌分离菌株在显微镜下的形态(1000×)



3. 细菌分离菌株的16S rDNA检测结果

M: DL2000 DNAMarker, 16S: 16S rDNA


图4. 16S rDNA基因系统发育进化树



5. 细菌分离株毒力基因扩增结果

M: DL2000 DNAMarker, 1: nheA gene, 2: nheB gene, 3: nheC gene, 4: hblA gene, 5: hblC gene, 6: hblD gene, 7: ces gene, 8: entFM gene, 9: cytK gene, 10: bceT gene, 11: groEL gene


图6. RPA-LF不同温度组的测试结果

1: 10 ℃, 2: 15 ℃, 3: 20 ℃, 4: 25 ℃, 5: 30 ℃, 6: 35 ℃, 7: 40 ℃, 8: 45 ℃



图7. RPA-LF法不同反应时间的测试结果

1: 5 min, 2: 10 min, 3: 15 min, 4: 20 min, 5: 25 min, 6: 30 min



图8. RPA-LF法特异性的检测结果

1: 蜡样芽胞杆菌组, 2: 产气荚膜梭菌组, 3: 巨大芽胞杆菌组, 4: 枯草芽胞杆菌组, 5: 生理盐水


对照组

9. RPA-LF灵敏性检测结果

1: 生理盐水, 2: 1.0×101 CFU/mL, 3: 1.0×102 CFU/mL, 4: 1.0×103 CFU/mL, 5: 1.0×104 CFU/mL, 6: 1.0×105 CFU/mL, 7: 1.0×106 CFU/mL, 8: 1.0×107 CFU/mL


    论文链接:https://doi.org/10.1016/j.lwt.2023.115259