近日,我院王学理教授团队在生物学二区Top 期刊《Frontiers in Microbiology》发表题为“Effect of environmental stress factors on the expression of virulence genes and pathogenicity of lethal Bacillus cereus of bovine origin”的研究论文。动物科技学院2021级硕士研究生孟庆磊为第一作者,王学理教授为通讯作者。该研究通过环境胁迫因子降低蜡样芽孢杆菌的毒力基因表达水平,以降低蜡样芽孢杆菌对人和动物健康的危害。
蜡样芽孢杆菌是一种常见的食源性条件致病菌,内蒙古东部地区已有多起蜡样芽孢杆菌引发的牛猝死病例。由于药物消毒方法(抗生素的使用存在一定限制)和化学消毒方法(可能会产生化学残留)等消毒方法都存在一定的局限性,为寻找更有效的解决方式,该研究通过环境胁迫因子来降低蜡样芽孢杆菌的毒力基因表达水平,进而减少蜡样芽孢杆菌引发的感染。该研究为蜡样芽孢杆菌病的防控提供了一定的参考,同时也为新型消毒剂的研发提供了一定的方向。

该项目获得内蒙古自治区高等学校科学技术研究重点项目(NJZZ19147),内蒙古自然科学基金(2021LHMS03008),内蒙古直属高校基本科研业务费多学科交叉研究项目(GXKY22003)的共同资助。全文链接:https://doi.org/10.3389/fmicb.2025.1519202
部分结果如图所示。在单一环境胁迫因子下,nheA、hblD、cytK、entFM 在40℃时、pH为8.0时表达量最低,并且在除对照外各种盐浓度下均低表达;在多种环境胁迫因子下,nheA、hblD和cytK在温度40℃、pH为6.0、盐浓度为3.0 %的环境下,entFM在温度为20℃、pH为8.0、盐浓度为1.5 %的环境下表达量最低。环境胁迫因子(温度、盐浓度、酸碱度)对蜡样芽孢杆菌四种毒力基因(nheA、cytK、hblD、entFM)的表达有影响,可使用环境胁迫因子来减少蜡样芽孢杆菌对人和动物健康的危害。

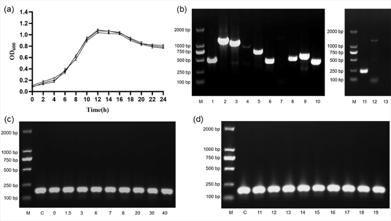
图1 B. cereus生长曲线及基因验证结果
注:A, 1-24 h内B. cereus生长曲线。
B,B. cereus毒力基因检测结果。注:M, DL2000 DNAMarker; 1, nheA gene; 2, nheB gene; 3, nheC gene; 4, hblA gene; 5, hblC gene; 6, hblD gene; 7, ces gene; 8, plcR gene; 9, entFM gene; 10, cytK gene; 11, bceT gene; 12, groEL gene.
C、D,单因素胁迫因子的RNA验证。注:M, DL2000 DNAMarker; 0, 0组; 1.5, 1.5组; 3, 3组; 6, 6组; 8, 8组; 20, 20组; 30, 30组; 40, 40组; C: control组。
E,多因素胁迫因子的RNA验证。注:M,DL2000 DNAMarker;11,11组;12,12组;13,13组;14,14组;15,15组;16,16组;17,17组;18,18组;19,19组。

图2 单因素环境胁迫下毒力基因的mRNA相对表达量
注:A、B、C、D分别为B. cereus的毒力基因(nheA、cytK、hblD、entFM)在不同环境下(20°C、30°C、40°C)的表达量。E、F、G、H分别为B. cereus的毒力基因(nheA、cytK、hblD、entFM)在不同pH下(6.0、7.0、8.0)的表达量。I、J、K、L分别为B. cereus的毒力基因(nheA、cytK、hblD、entFM)在不同盐浓度下(0 %、1.5 %、3 %)的表达量。以上所得数据为均值±标准差,其中*,P < 0.05;**,P < 0.01;***,P < 0.001 表示差异有统计学意义。

图3 多因素环境胁迫下毒力基因的mRNA相对表达量
注:A图表示多因素环境胁迫下nheA基因的mRNA相对表达量。B图表示多因素环境胁迫下hblD基因的mRNA相对表达量。C图表示多因素环境胁迫下cytK基因的mRNA相对表达量。D图表示多因素环境胁迫下entFM基因的mRNA相对表达量。以上所得数据为均值±标准差,其中*,P < 0.05;**,P < 0.01;***,P < 0.001 表示差异有统计学意义。